Solutions for Every Smile

Tailored Transformations for Your Unique Concerns

A smile is more than just a row of white teeth; it is the center of your facial expressions and the first thing people notice when you speak. Many of our patients have spent years hiding their smiles—covering their mouths when they laugh or practicing “closed-lip” smiles for photos. Our goal is to remove that burden by addressing your specific concerns with precision and artistry.

Closing the Gaps (Diastema)

If you have gaps between your teeth, you may have been told that your only options are years of braces or clear aligners. While orthodontics are great for many, they don’t change the shape or color of your teeth. MINISH Veneers provides “Instant Orthodontics.” We can close gaps seamlessly while simultaneously perfecting the proportions of your teeth. In just one day, you can achieve the symmetrical, gap-free smile that usually takes years of metal wires to accomplish.

Close-up of a patient's smile featuring a prominent gap between the upper front central incisors (diastema) before MINISH treatment.
Close the gaps. Perfect the proportions.
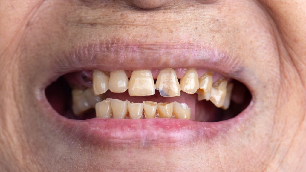
Close-up of a patient with severely worn, chipped, and yellowed teeth before receiving MINISH restorative veneers.

Restoring Worn and Aged Teeth

As we age, our teeth naturally wear down. This is often accelerated by stress-related grinding (bruxism) or acidic diets. Short, worn teeth can make the lower third of the face look collapsed, leading to a prematurely aged appearance. MINISH Veneers allows us to “add back” what time has taken away. By restoring the youthful length and the delicate “incisal edges” (the translucent tips of the teeth), we can literally take years off your appearance.

Erasing Stains and Discoloration

Professional whitening is a great start, but it has limits. Some stains—especially those caused by childhood medications (like tetracycline), fluorosis, or internal trauma—are “intrinsic,” meaning they are deep inside the tooth structure where gels can’t reach. MINISH Veneers acts as a permanent brightness filter. You choose your ideal shade, from a soft, “natural white” to a “brilliant Hollywood glow,” and that color is locked in forever. Our restorations are non-porous, meaning they won’t stain from your morning espresso or evening glass of Malbec.

Yellowing teeth to demonstrate the whitening potential of MINISH veneers.
Your shade. Locked in for life.
Extreme close-up of unproportionate teeth and uneven gum lines before corrective MINISH restoration.

Harmonizing Proportions

Sometimes, the issue isn’t the health of the teeth, but their size. “Microdontia” (teeth that are naturally too small) or a “gummy smile” can make your smile look unbalanced. We use the principles of the “Golden Ratio” to design restorations that fit your specific facial frame. We look at your lip line, your eye symmetry, and even your skin tone to ensure that your new smile doesn’t just look “good”—it looks like it belongs to you.