How to Repair a Chipped Tooth

Chipped teeth are among the most frequent restorative cases encountered in dental practice. Whether caused by trauma, bruxism, or accidental biting on hard objects, patients often present with concerns that extend beyond aesthetics and impact overall oral health. While the chip itself may seem minor, the consequences can be significant, leading to compromised tooth function, increased sensitivity, and elevated risk of further fracture.
For decades, dentists have relied on established methods like resin bonding and crown placement to restore chipped teeth. While effective in many cases, these treatments come with trade-offs that may limit longevity, compromise natural tooth structure, or require repeated treatment, raising long-term dental care considerations.

Now, with the development of MINISH Veneers, dental providers have access to a biomimetic, minimally invasive treatment that preserves enamel while delivering aesthetic and functional excellence. This blog explores the popular restorative pathways of resin treatment, crown treatment, and MINISH Veneers, offering clinical insight as to why MINISH Veneers represent a next-generation option for U.S. providers.
Approaches to Chipped Tooth Repair
1. Resin Treatment
Composite resin remains a widely used option for chipped teeth, particularly minor fractures. Dentists directly apply it to the damaged area to restore shape and aesthetics while preserving
as much natural tooth enamel as possible.
Advantages:
- Fast and cost-effective
 - Conservative approach, requiring minimal or no tooth reduction
 - Good aesthetic results initially
 
Limitations:
- Durability issues—resin is prone to staining, discoloration, and chipping, especially in patients with bruxism
 - Shorter lifespan—most resin restorations require replacement within 3–5 years
 - Surface wear—composite does not mimic enamel hardness, which can lead to functional compromise
 
Takeaway: Resin works well for small, superficial chips but is not an ideal long-term solution for patients seeking lasting durability or for those at high risk of recurrent damage.
2. Crown Treatment
Crowns are often recommended when a chip compromises structural integrity or involves posterior teeth with heavy occlusal load. By fully covering the affected tooth, crowns provide protection and restore function, sometimes preventing the need for more invasive procedures such as a root canal.
Advantages:
- Excellent protection for structurally compromised teeth
 - Durable, especially under posterior chewing forces
 - Long clinical history of use, giving dentists and patients confidence
 
Limitations:
- Significant tooth enamel and dentin reduction—crowns require substantial preparation, often removing healthy structure
 
- Irreversible biological cost—each replacement cycle weakens the tooth further
 - Aesthetic challenges—anterior crowns may not always match natural translucency
 - Multiple visits—crown fabrication and placement often require temporaries and multiple appointments
 
Takeaway: Crowns are reliable for structurally weakened teeth, but their invasive nature and long-term biological cost should make them a last resort, not the first choice.
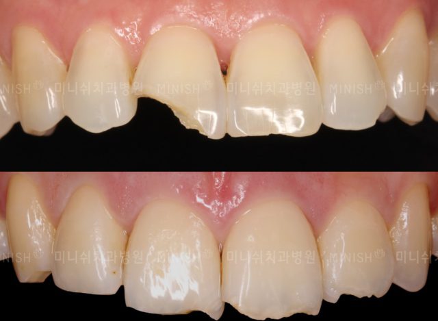
3. MINISH Veneers Treatment
MINISH Veneers represent a new category of chipped tooth repair, offering biomimetic restorations with minimal preparation. Fabricated from ultra-thin, high-strength MINISH Blocs (developed in partnership with Vita), they mimic tooth enamel both esthetically and functionally.
Advantages:
- Chairside efficiency: Diagnosis, preparation, and placement can be completed in a streamlined manner.
 - Minimally invasive: Requires little to no enamel reduction, preserving natural tooth structure.
 - Durable and versatile: Resistant to fracture and suitable for anterior, posterior, and complex cases.
 
Clinical Value: A predictable, long-lasting solution that meets patient demand for esthetics without the trade-offs of crowns or resin.
The Next Generation: MINISH Veneers
MINISH Veneers represent an evolution in restorative dentistry, designed with a biomimetic philosophy. Developed using proprietary MINISH Blocs in partnership with VITA, these ultra-thin, high-strength ceramics mimic the optical and functional properties of natural enamel, setting a new standard for the modern dental veneer.
Key Benefits for Providers:
- Minimally Invasive: Little to no enamel reduction, preserving natural tooth structure.
 - Biomimetic Integration: Bonds seamlessly with enamel to restore both strength and esthetics.
 - Durability: High resistance to chipping and fracture compared to composites.
 - Versatility: Suitable not only for anterior esthetics but also for posterior restorations and patients seeking to fix a chipped tooth, even in complex cases.
 
This combination allows providers to move beyond the compromises of traditional veneers or crowns, offering patients a solution that is conservative, esthetic, and functionally reliable.
Clinical Considerations for U.S. Dental Providers
- Case Selection: MINISH Veneers are ideal for patients visiting a dental clinic who seek cosmetic repair of anterior chips, functional reinforcement in bruxism cases, or conservative alternatives to crowns—including solutions for a cracked tooth.
 - Chairside Efficiency: Single-visit placement reduces patient time while improving satisfaction.
 - Training & Integration: Providers can benefit from MINISH Veneers’ specialized training and certification, which covers preparation protocols, bonding techniques, and case planning for both simple and advanced scenarios.
 - Practice Growth: Incorporating MINISH Veneers expands treatment offerings, improves patient trust in minimally invasive options, and enhances differentiation in competitive U.S. markets.
 
Conclusion
Chipped teeth present a common yet complex clinical challenge. From small chips to more severe damage with jagged edges, traditional methods—bonding, crowns, and conventional veneers—each serve a role, but they often involve trade-offs between aesthetics, durability, and preservation of natural tooth structure.
MINISH Veneers offer a cutting-edge solution. Their tooth-shaped design combines ultra-thin strength, enamel biomimicry, and minimal preparation, providing dental providers with an effective treatment that restores both function and esthetics—without sacrificing healthy enamel.
For U.S. dentists looking to expand their restorative portfolio, MINISH Veneers represent not just a treatment option but a pathway toward conservative, next-generation dentistry.
Frequently Asked Questions (FAQ)
No. Unlike traditional veneers, MINISH Veneers are also suitable for posterior restorations, making them versatile for both esthetic and functional cases.
Bonding is cost-effective and quick but prone to staining and chipping. MINISH Veneers offer far greater durability, esthetic longevity, and a biomimetic bond with enamel.
In most cases, MINISH Veneers require little to no enamel reduction, preserving natural tooth structure and reducing biological cost compared to crowns or conventional veneers.
Yes. Certification ensures clinicians understand preparation techniques, bonding protocols, and case selection. Training supports predictable, high-quality outcomes for patients.
Adding MINISH Veneers allows providers to differentiate their services, appeal to patients seeking minimally invasive care, and grow revenue with a premium restorative solution.
Check Out Our Other Blog Posts!
Looking for more insights on cutting-edge dental technology, minimally invasive treatments, and tips for preserving natural tooth structure? Explore our latest blog posts—from expert advice by Dr. Kang to real success stories and insights from MINISH Dental Hospital.
Whether you’re a dental professional or a curious patient, you’ll find valuable info on everything from tooth integrity, oral health, and innovative dental solutions to the science behind MINISH Veneers.
👉 Stay informed. Stay inspired.
								

